About this Event
Interdisciplinary Smile Design
Where Aesthetic Vision Meets Biological Mastery
There are moments in a clinician’s journey when technique is no longer enough.
When you realise that beautiful ceramics alone do not create harmony.
True aesthetic excellence happens at the intersection of restorative precision and periodontal intelligence.
This two day intensive with special focus hands on component is designed for dentists who are ready to elevate how they think, diagnose and execute smile makeovers. The focus here is not only on the white aesthetics but pink aesthetics as well.
We are genuinely excited to host Dr David Montalvo for the first time in Australia. Seats are intentionally limited to maintain depth of discussion and interaction.
Day 1
The Architecture of Aesthetic Confidence
We begin with clarity.
• Periodontal aesthetic parameters that shape a smile• Gingival display and facial harmony analysis• Advanced consultation protocols that build authority• Digital smile design and mock up integration using direct, indirect protocols and freehand with flowable CR.• Indications for veneers, vonlays and overlays
Confidence in cosmetic dentistry comes from structure.
By the end of Day 1, you will see smile design differently.
Day 2
The Biological Authority
Every great aesthetic case respects tissue.
We dive into:
• The dento-gingival complex and biologic width• Etiology driven gummy smile diagnosis• Crown lengthening from assessment to execution• Flapless approaches and lip stabilisation concepts• Recession treatment fundamentals• Surgical and restorative sequencing
This is where aesthetics move from hopeful… to predictable.
Special Focus Areas
Hands On Clinical Application
This program places strong emphasis on practical execution. Participants will engage in guided hands on components designed to translate theory into confident clinical application.
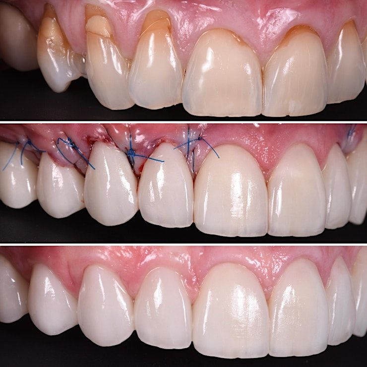
1. Surgical and Non Surgical Crown Lengthening
Comprehensive exploration of both surgical and non surgical approaches to aesthetic crown lengthening. We will examine indications, case selection, biological considerations and technique refinement to achieve predictable and harmonious gingival outcomes.
2. Advanced Mock Up and Provisional Techniques
Different approaches to aesthetic mock ups and provisionalisation will be demonstrated and practiced, including the freehand flowable composite resin technique. The goal is to enhance communication, improve patient acceptance and elevate the accuracy of final outcomes.
3. Preparation Strategies for Veneers, Vonlays and Overlays
Refined preparation philosophies for minimally invasive and adhesive restorative workflows. Emphasis will be placed on precision, tissue respect and long term stability in aesthetic cases.
What this two day course may help create
Stronger aesthetic judgement. Clearer interdisciplinary communication. A repeatable smile design framework. Greater authority in patient conversations.
DB Academy is proud to host a program that brings together restorative vision and biological intelligence in one immersive experience.
Event Venue & Nearby Stays
The Langham Gold Coast, 38 Old Burleigh Road, Surfers Paradise, Australia
AUD 1100.00 to AUD 6046.70






