Advertisement
Emulating Nature’s Morphology: Restoring Life and Character with Direct ResinAbout this Event
Fee for both days: £1500
Join us on Friday 30th January and Saturday 31st Januay.
Please select Friday 30th January when Booking
Aims:
What you will learn at this workshop:
- The Five Color Dimensions of Teeth: chromaticity, value, characterizations, intensities, and opalescence
- Using photography to accurately determine shade and clearly visualize deep effects
- How teeth age and how to recreate this with direct resin
- Not just chicklets: how tooth form varies and how to create triangular, square, and ovoid tooth form with appropriate contact points, line angles and volume
- The five levels of texture: create a lifelike and durable finish
Learning Objectives:
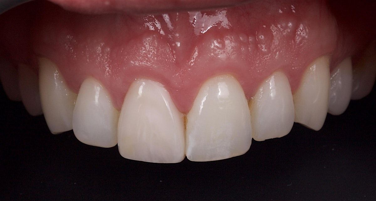
- The resin veneer: Young bleach shade tooth with incisal opalescence effects and strong surface texture
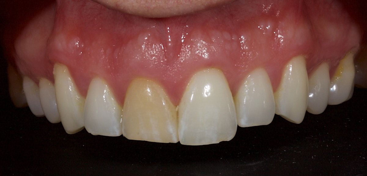
- The resin veneer: Mature adult with white maverick deep effects and subtle enamel infractions
- The resin veneer: Elderly adult with incisal edge wear facets and surface crack lines
Advertisement
Event Venue & Nearby Stays
Hilton Belfast, 4 Lanyon Place, Belfast, United Kingdom
Tickets
GBP 1500.00
Concerts, fests, parties, meetups - all the happenings, one place.





