 
                  		
                  	                  		
                  			Advertisement
																								 
											
                  	
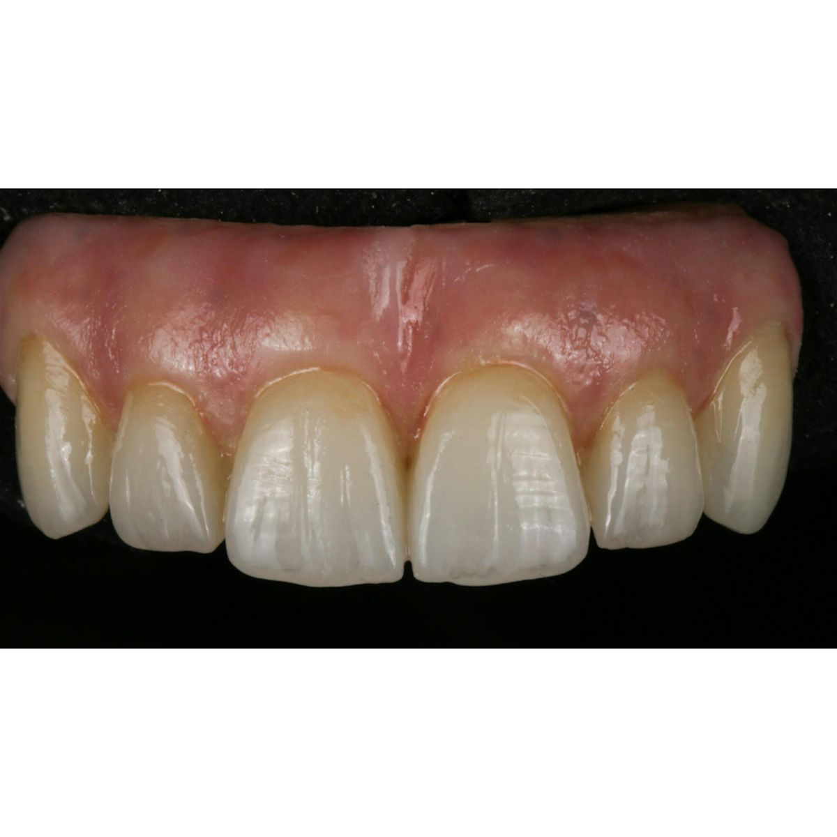
                    The focus will be on using the MiYo gingival esthetic kit to reporduce life-like gingival effects on your zirconia hybrids.  HANDS-ONAbout this Event
All materials will be provided. Armann Girbach provides the zirconia and Jensen Dental supplies the MiYo. Attendees are welcome to bring their own stain pallets, brushes, etc. It is not a nessecity. Everything will be provided.
It is suggested that you bring a Hallenback carver if possible
Bagels, coffee and Juice in the morning and lunch included.
                  			Advertisement
																								 
											
                  	
                    Event Venue & Nearby Stays
Winter Springs Dental Lab, 1973 Longwood Lake Mary Road, Longwood, United States
														    Tickets
														    
													USD 908.85
 
								
									Concerts, fests, parties, meetups - all the happenings, one place. 
								
							
